- 病理学研究在新药研发临床前研究中扮演着重要的角色。它涉及多个方面,包括动物模型确认、药物作用机制、器官损伤和毒性反应等研究类型。(1)病理学研究是研究疾病发生发展机制的学科,在药物药理药效学研究中,对动物疾病模型与否可以用于药理药效的评估至关重要,以及在造模成功的基础上,科学的评价药效学作用。(2)在药物安全性评价中,病理学评估往往也是评估药物毒性的“金标准“,并合理将其应用于推测人的临床试验风险评估。进而有助于制定合理的临床用药剂量和用药方案,以减少潜在的临床危害风险。从评估的水平角度,病理学研究除了可以进行常规的定性评估,还可以根据需求进行定量或半定量的评估,例如评价药物对不同器官的损伤程度、用软件进行定量分析等。
从评估范围的角度,在药理药学研究中,通常对相关的某个或某几个脏器进行评价;而在安全性毒理研究中,通常需要对动物的全是各系统多脏器进行病理学检查评价。
beats365病理学研究平台- beats365的病理学研究服务平台对标国际领先的研究操作流程和质量体系,具有完善的专业资质,完备的实验器材以及丰富的经验,能够实现高效,稳定的病理研究服务。病理学研究服务平台可以为新药研发的药理药效和安全性评估提供真实可靠的科学依据。beats365的病理学研究服务平台主要包括临床病理学和组织病理学两个部门。临床病理学检测主要包括常规的血液学、血清生化、凝血功能、尿液检测和免疫细胞学分析等业务。组织病理学检查主要包括实验动物解剖、组织病理切片制作和病理诊断等业务。

- 病理研究平台工作流程临床病理学研究的工作流程通常包括样本采集和样本分析,即采集血液、尿液和粪便等样本,以对动物体内的生理指标进行监测和分析。这些样本可以用来检测药物对生物体的影响,如肝功能、肾功能和心血管等方面的变化。
组织病理学研究的工作流程通常包括动物剖检(包括安乐死)、组织切片制作和病理诊断分析,即对实验动物实施麻醉后采集血样致动物安乐死、采集动物的组织样本,经过固定、切片和染色等处理后制成组织切片,使用显微镜观察器官组织的形态和结构特征,病理学家撰写病理报告。组织病理学评估被认为是毒性评估的“金标准”。通过对组织切片的显微镜观察,可以直观地了解药物对组织结构的影响,如细胞坏死、炎症反应、纤维化等变化。
beats365病理学研究服务列表- 临床病理学
血液学
Hematology Hematology Hemoglobin(HGB) Neutrophil percentage (%NEUT) Hematocrit (HCT) Neutrophil absolute count (NEUT) Mean Corpuscular Hemoglobin(MCH) Lymphocyte percentage(%LYM) Mean corpuscular volume (MCV) Lymphocyte absolute count (LYM) Mean Corpuscular Hemoglobin Concentration(MCHC) Mononuclear percentage(%MONO) Reticulocyte percentage (%RETIC) Mononuclear absolute count(MONO) Reticulocyte absolute count(#RETIC) Basophilic percentage(%BASO) Platelet count(PLT) Basophilic absolute count (BASO) Red blood cell (RBC) Eosinophilic percentage (%EOS) White blood cell (WBC) Eosinophilic absolute count (EOS) 临床化学(常规项目)
Clinical Chemistry Clinical Chemistry Alanine aminotransferase (ALT) Urea(UREA) Aspartate aminotransferase (AST) Creatinine(CREA) Alkaline phosphatase (ALP) Electrolyte (Na) Creatine kinase(CK) Electrolvte (K) γ-Gamma glutamyl transferase(GGT) Electrolyte (Cl) Cholesterol(TCHO)) Calcium (Ca) Triglyceride(TG)) Phosphorus(P) Total bilirubin(TBIL) Total protein (TP) Direct bilirubin (DBIL) Albumin(ALB) Glucose(GLU) Globulin (GLO) Albumin/globulin Ratio(A/G) 凝血
Coagulation Prothrombin time (PT) Activated partial thromboplastin time (APTT) Fibrinogen (FBG) Thrombin time(TT) 尿液分析
Protein(PRO) Nitrite (NIT) Ketones (KET) Turbidimetry (gross observation) Blood (BLD) Color (gross observation) Urobilinogen(URO) Specific Gravity Leukocytes(LEU) pH Glucose(GLU) Volume Bilirubin(BIL) Urine sediment 流式细胞术(常规举例 )
Lymphocyte Phenotypic analysis 淋巴细胞表型分析CD3+, CD3+CD4+, CD3+ CD8+CD3+ CD4+ / CD3+CD8+CD161+ , etc细胞因子分析(常规举例 )
IL2, 4, 6, 10IFN-γTNF-α骨髓涂片
对骨髓涂片中的细胞进行数量统计和分类。之后通过显微镜观察和分析骨髓细胞的形态特征,评估骨髓细胞的状态 。
血液涂片
对血液涂片中的细胞进行数量统计和分类后,观察血细胞的形态特征 。

特殊项目
a-amylase(FAA) immunoglobulin A(lgA) High-density lipoprotein cholesterol(HDL) immunoglobulin G(lgG) Low-density lipoprotein cholesterol(LDL) immunoglobulin M (lgM) uric acid(UA) Complement C3 Lipase Complement C4 lactic dehydrogenase(LDH) glycosylated hemoglobin(HbA1c) - 组织病理学尸体解剖器官重量测量组织固定显微镜观察显微镜观察组织切片制作
尸体解剖
组织病理学研究通常需要进行动物的尸体解剖。常用的实验动物包括大鼠、小鼠、兔子、狗、猪、猴子等。可以应用于不同类型的研究,包括毒性研究、药理药效学研究和组织分布研究等。通常步骤遵循:安乐死、采血 安乐死、采血、解剖、器官重量、组织固定。
Subject Type of study Subject Type of study TOX Tox-sigle dose PD Tumor models Tox-repeated dose Non-tumor models Tox-DART 1 PK Tissue distribution Tox-irritation test Research all animal tissues Tox-carcinogenicity 显微镜观察(Microscopically)
在组织病理学研究中,通常会对解剖获得的器官进行重量测量,以确定药物对该器官的影响程度。获得的组织样本会进行固定处理,以保持组织结构的完整性。经过固定处理后,组织样本被嵌入石蜡中,切片并染色。然后使用显微镜观察和分析组织的形态和结构特征,以评估药物对组织的损伤程度、器官的功能变化以及药物在组织中的分布情况。

使用连接LIMS系统的天平进行脏器重量称量及数据采集
Adrenal glands Pituitary Large intestine, rectum Skin Brain Aorta Throat Small intestine.duodenum Heart Bone with bone marrow, riba Lymph node, mandibular Small intestine. ileum (with gut-associated lymphoid tissue) Kidney Bone with bone marrow. sternum Lymph node, mesenteric Small intestine, jejunum Liver Bone with bone marrow.femur Mammary gland (malesand females) Cervical medulla Spleen Esophagus Nerve, sciatic Lumbar medulla Thymus Eyes (with optic nerves) Oviducts Thoracic medulla Ovaries Gallbladder Pancreas Stomach Uterus with cervix Gross lesion Prostate Tongue Testes Injection site (with surrounding blood vessels and muscles) Mandibular salivary gland Trachea Epididymides Tibiofemoral joint Parotid gland Ureter Thyroid and parathyroid glandsb Large intestine. cecum Sublingual salivary gland Urinary bladder Lungs with bronchi Large intestine. colon Skeletal muscle Vagina 表格展示为病理学检查采集脏器清单列表,红色字体脏器为常规称重脏器,蓝色为根据需求(动物种属或试验类型)可增加的称重脏器。
组织切片制作
石蜡切片程序: 取样、组织处理(脱水、澄清、上蜡)、包埋、切片、染色;冷冻切片程序: OTC 包埋、切片、染色;HE 染色特殊染色: PAS、O 油、Masson 等。IHC 染色切片扫描定量分析: 图像分析软件染色举例

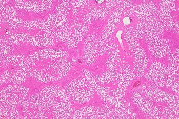
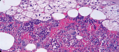
HE染色

天狼星红染色

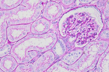
PAS染色

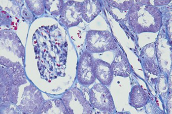
Masson染色

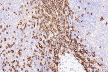
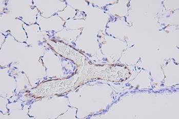
IHC-CD3

IHC-CD31
诊断
组织病理学研究的主要目的之一是评估药物对动物体内器官和组织的影响。经过显微镜观察和分析组织的形态和结构特征,可以诊断出药物对组织的损伤程度、器官的功能变化以及药物在组织中的分布情况等。
每个病理学家均配备专用的光学显微镜,均配有CCD图像采集。
Subject Type of study Subject Type of study TOX Tox-sigle dose PD Tumor models Tox-repeated dose Non-tumor models Tox-DART 1 Research all animal tissues Tox-irritation test Tox-carcinogenicity
病理研究服务平台专业资质beats365病理研究服务平台的专业资质包括临床病理学NIFDC认证的生物分析实验室和毒理病理学实验室的能力验证或实验室比对合格证书。



由上海市临床检验中心颁发的能力认证合格证书。









毒理病理学实验室相关能力验证合格证书



病理研究服务平台实验室设施- 临床病理学实验室主要仪器

贝克曼库尔特 AU5800 全自动生化分析仪

Sysmex 凝血分析仪

Sysmex 全自动尿液分析仪

Sysmex 血液分析仪

热冻离心机

粪便分析仪

37 °C 电炉

通风橱

解剖室

取材室

制片室

免疫组化实验室

阅片室

多人共览显微镜室
- 组织病理学实验室相关实验设施

徕卡自动脱水机

Epredia 包埋机

徕卡显微切片机.

徕卡全自动染色封片机

BOND RX 自动 IHC 机器

徕卡载玻片打标机

徕卡荧光显微镜

徕卡嵌入盒打标机

徕卡载玻片扫描仪

热冻显微切片机










